Braces Modern High Tech Digital Charts and X-Ray

Full Treatment

Full upper and lower braces are recommended for adults or children w permanent teeth have erupted. Invisalign may be used as another treatment option.

Early Treatment

Before the eruption of all permanent teeth, some young patients might benefit from phase I treatment to prevent the need for extractions of teeth or other conditions.

Complimentary Wire Removal

Prior to our patients going to the dentist for a cleaning, the wires are removed for ease of cleaning at no additional cost.

Two Sets of Retainers

After finishing the orthodontic treatment, patients are given two sets of retainers to maintain the alignment of teeth. Dr. Liu follows up on patients for one year.


Advanced 3M Unitek Braces System

Low Profile Braces to Ensure the Most Comfort

Clear Clarity Braces

Clear Braces to Achieve the Maximum Estheticse


Treatment Photos of Our Patients Before & After

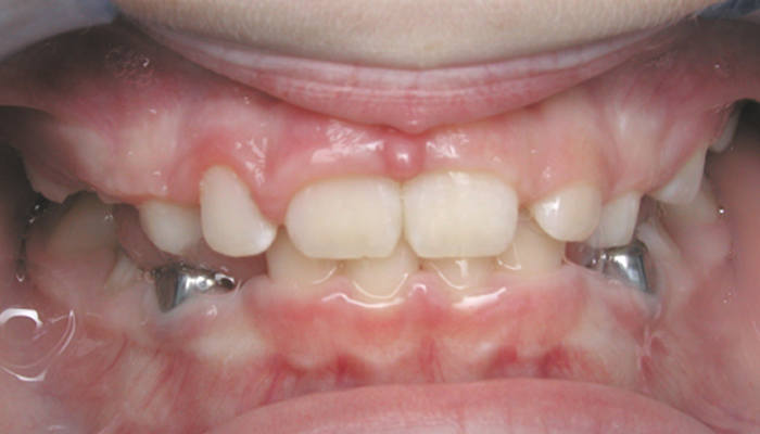
Spacing

Before

Spacing

After

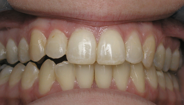
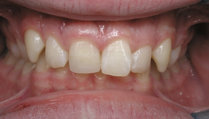
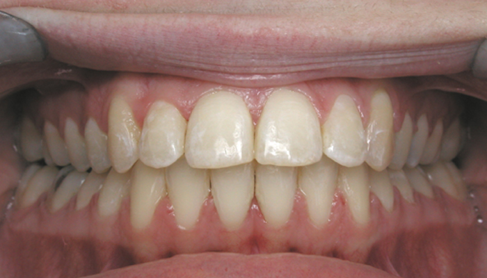
Crowding

Before

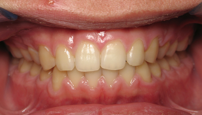
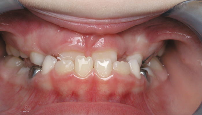
Crowding

After

Overbite

Before

Overbite

After

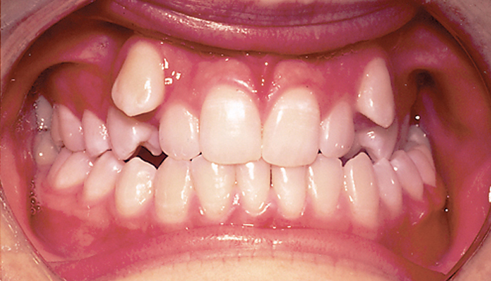
Anterior Crossbite

Before

Anterior Crossbite

After

Posterior Crossbite

Before

Posterior Crossbite

After

Open Bite

Before

Open Bite

After